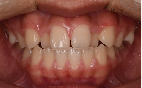
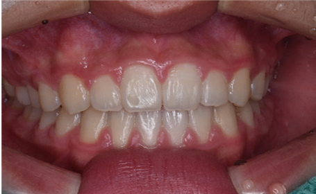
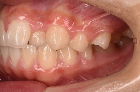
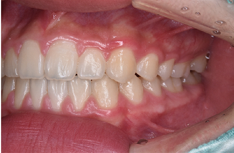
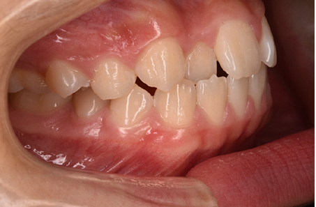
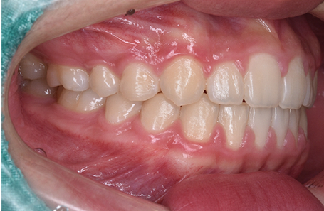
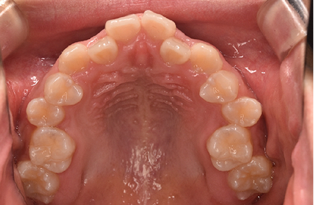
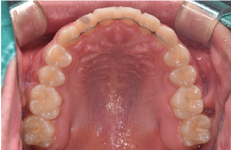
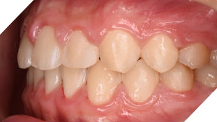
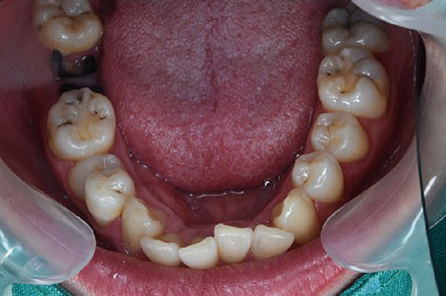
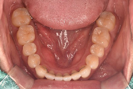
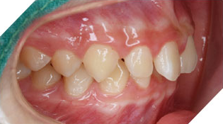
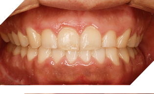
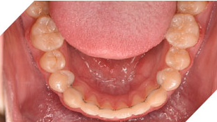
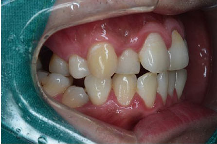
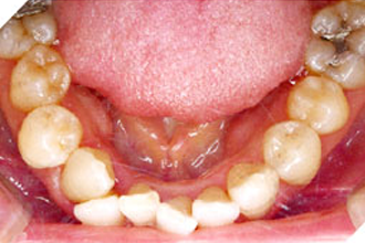
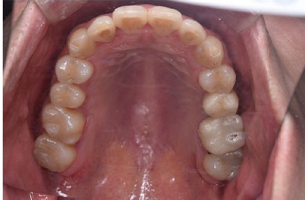
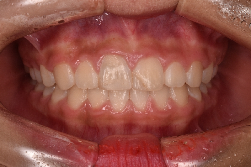
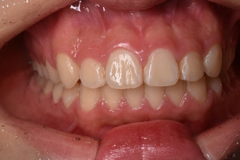
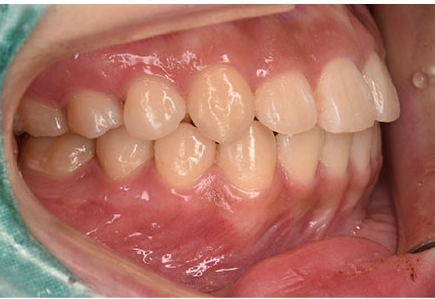
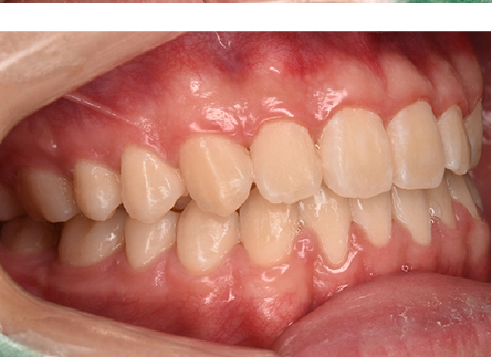
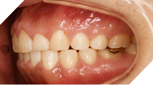
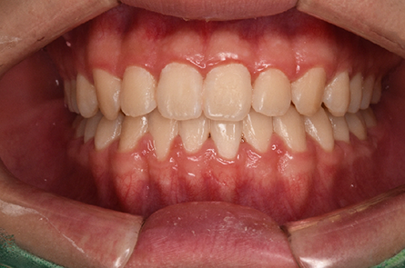
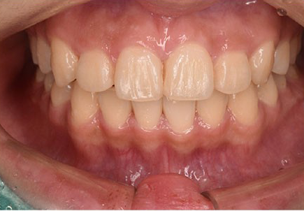
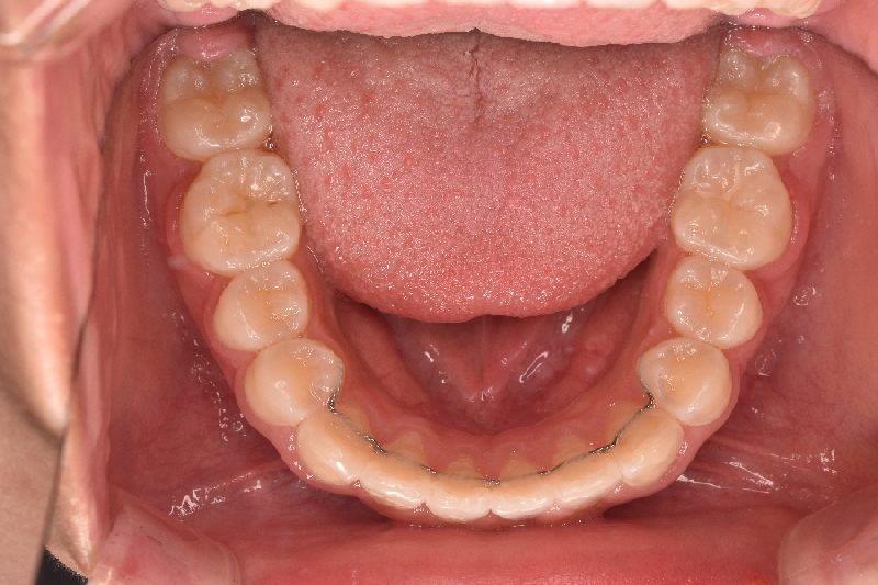
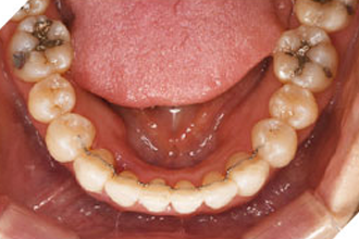
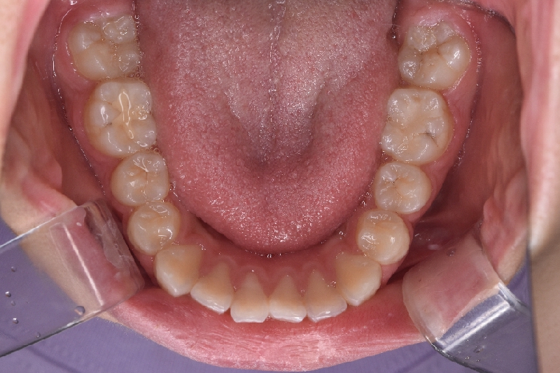
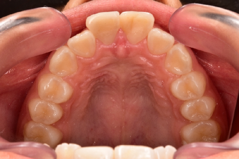
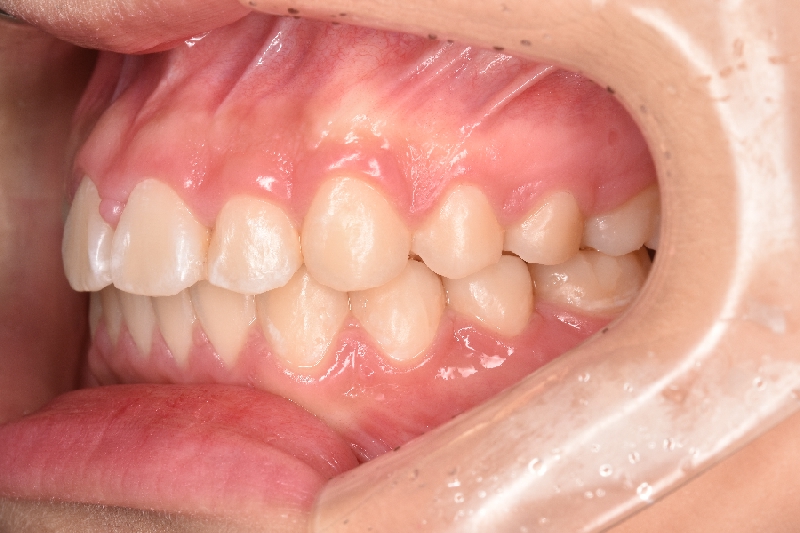
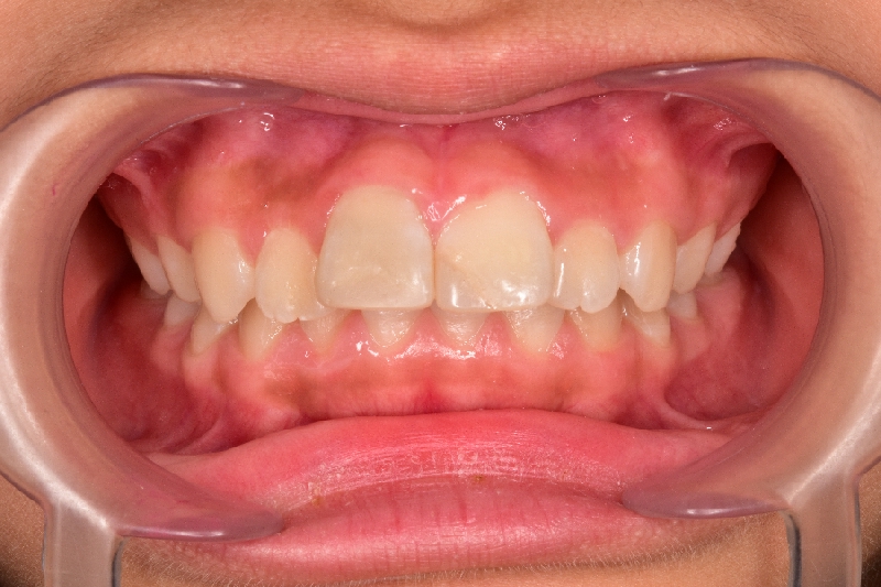
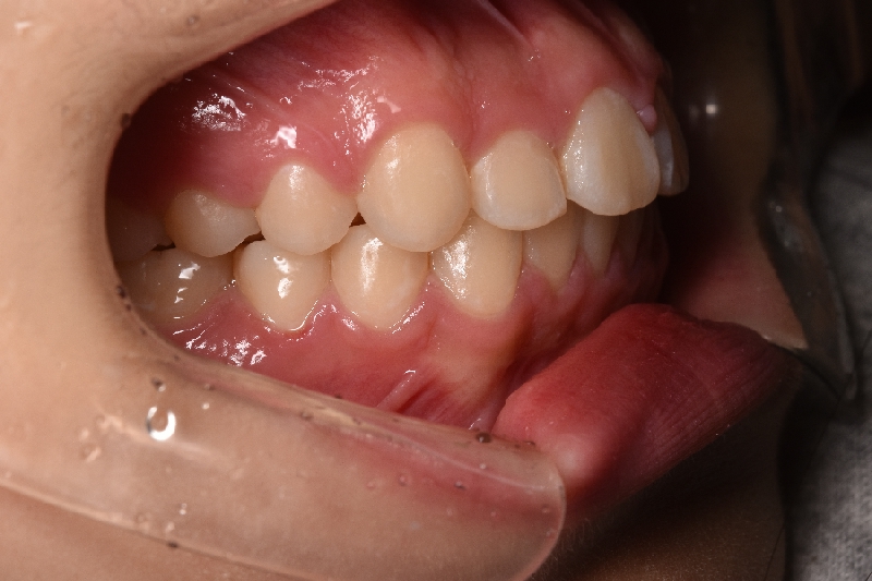
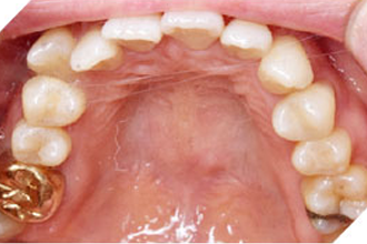
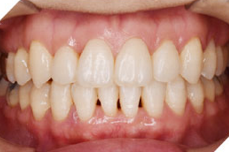
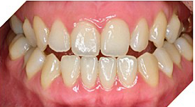
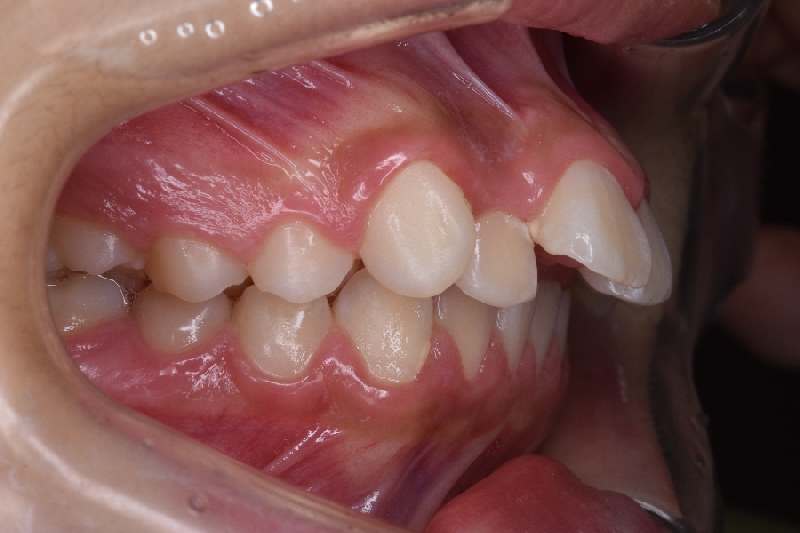
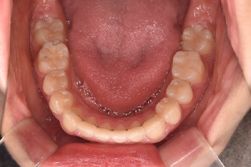
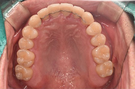
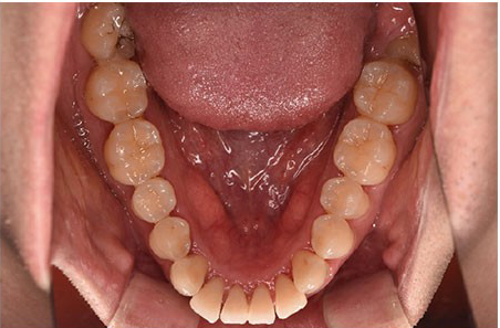
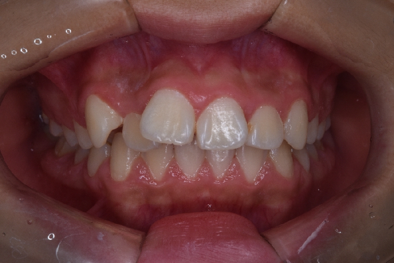
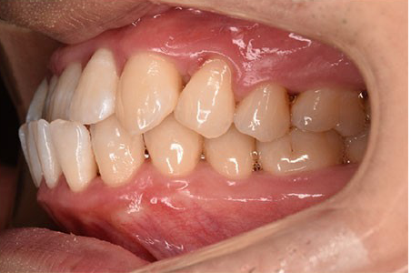
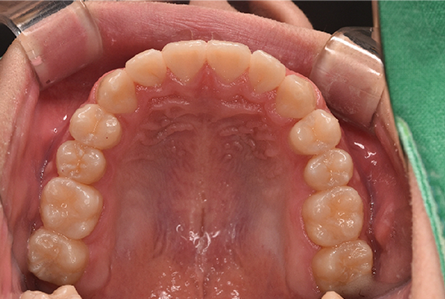
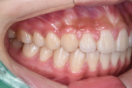
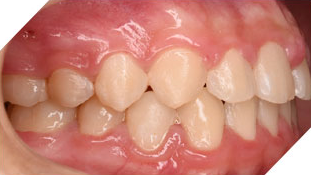
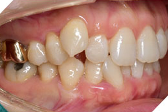
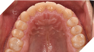
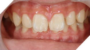
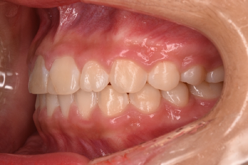
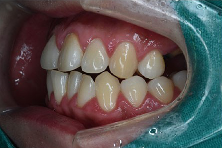
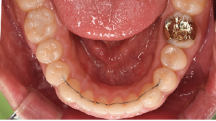
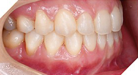
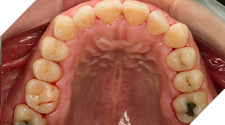
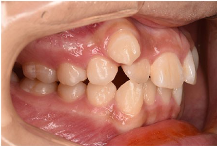
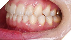
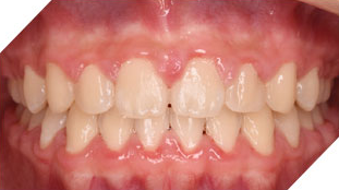
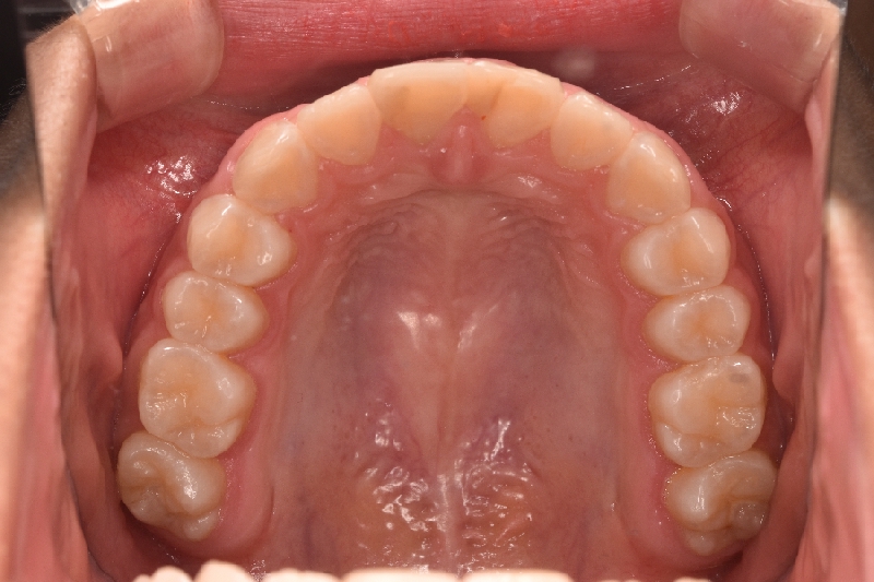
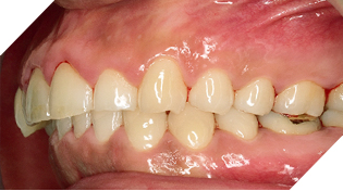
BEFORE & AFTER
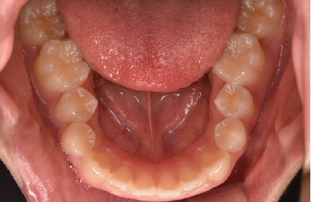
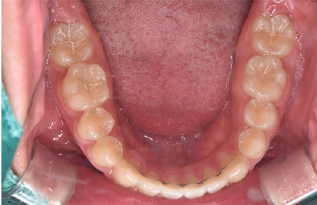
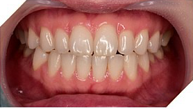
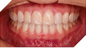
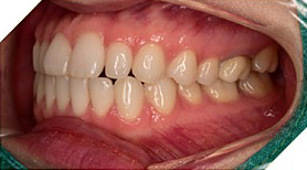
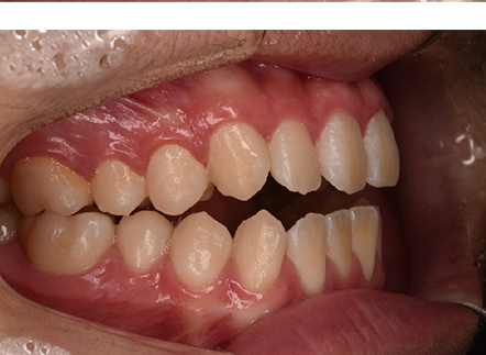
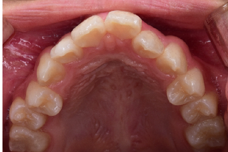
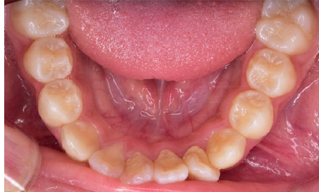
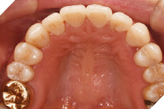
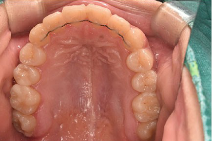
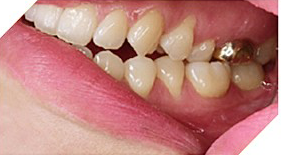
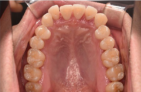
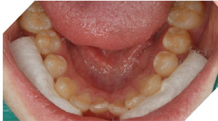
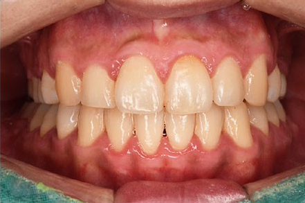
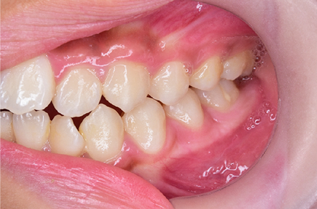
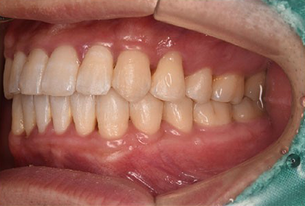
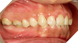
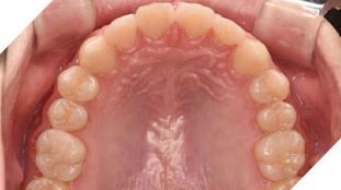
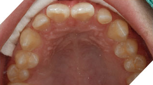
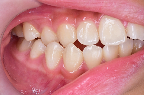
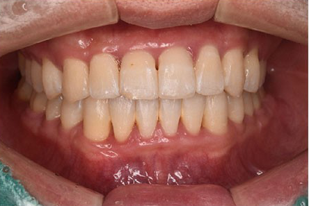
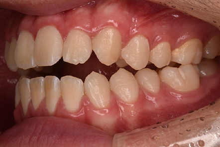
비발치 치료 사례입니다.
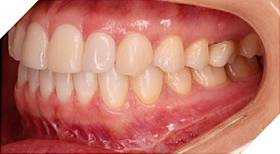
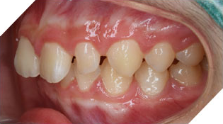
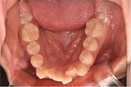
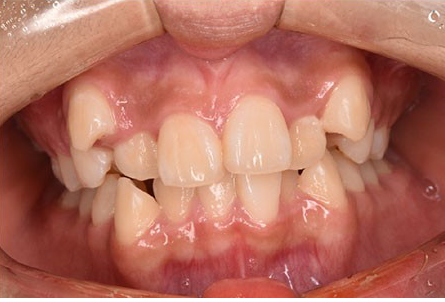
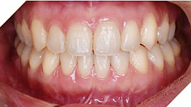
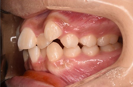
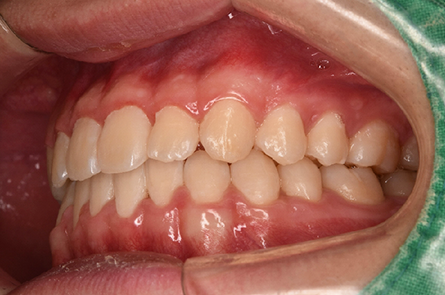
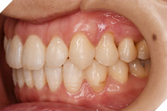
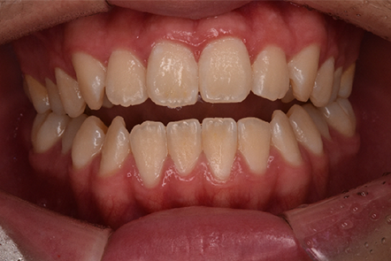
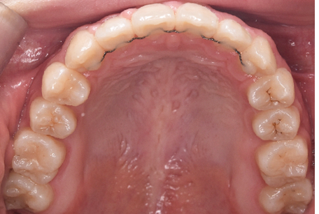
비발치 치료 사례입니다.
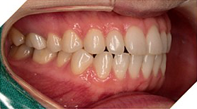
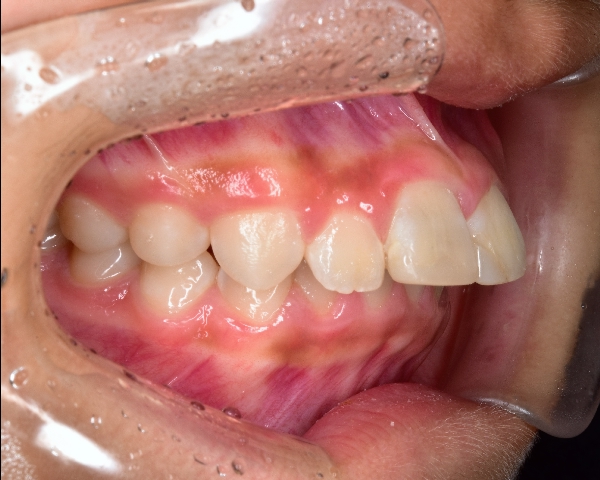
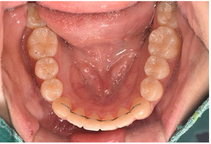
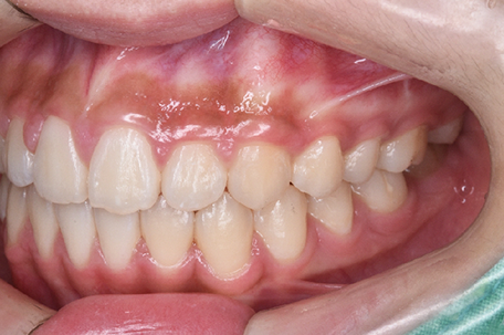
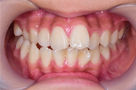
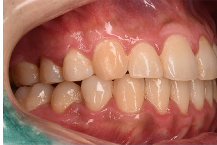
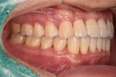
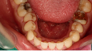
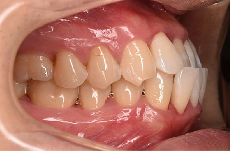
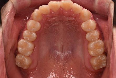
비발치 치료 사례입니다.
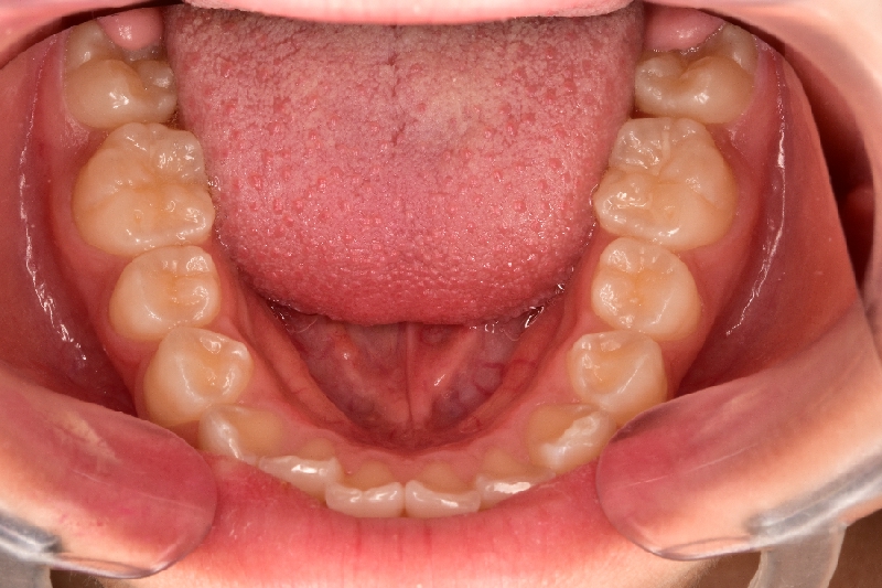
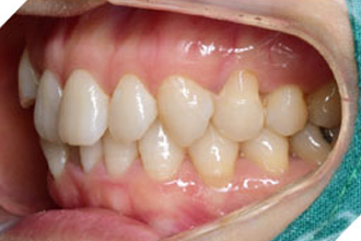
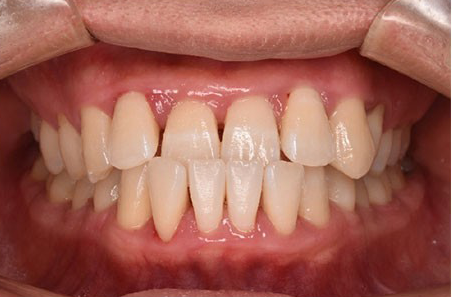
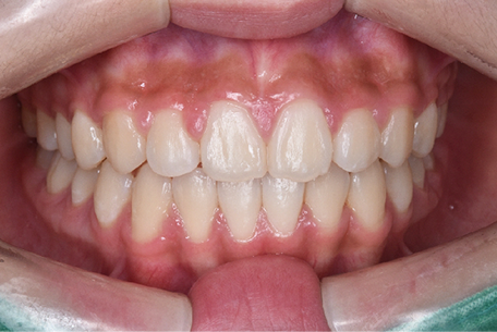
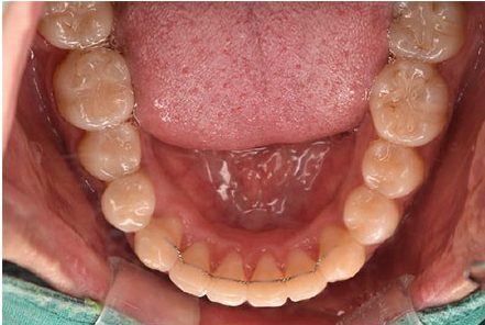
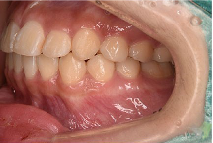
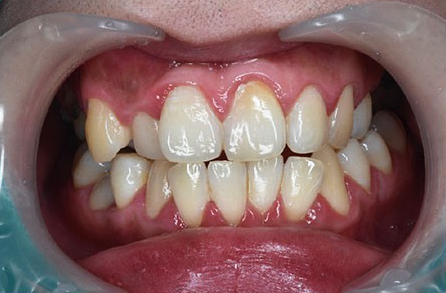
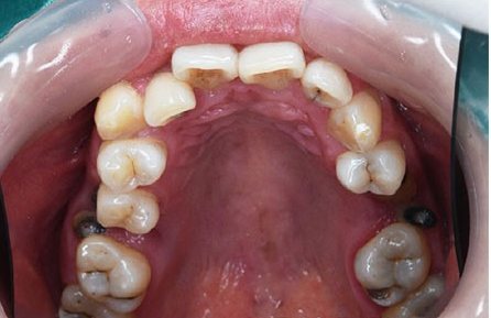
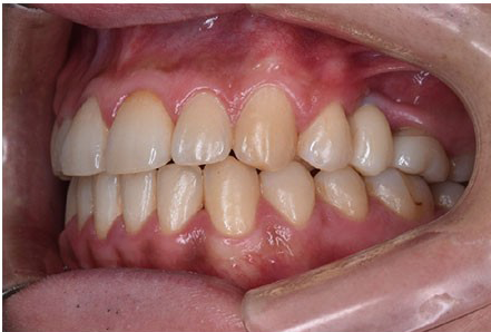
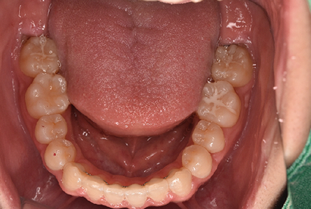
비발치 치료 사례입니다.
비발치 치료 사례입니다.
비발치 치료 사례입니다.
비발치 치료 사례입니다.
비발치 치료 사례입니다.
마주봄치과 둘러보기
마주봄치과
051-715-8528
-
진료시간
월 pm 01:30 ~ pm 08:30 (오후진료)
화·수·금 am 10:00 ~ pm 08:30 (점심시간 pm 01:00 ~ 02:30)
토·일 am 10:00 ~ pm 04:00 (주말진료)
목 휴 진
-
주차장 안내
건물 내 지하 1, 2층 주차장 무료지원 (건물 뒤편 주차장 입구)
























































